Dental Amalgam Removal at Cynthia Stafford blog

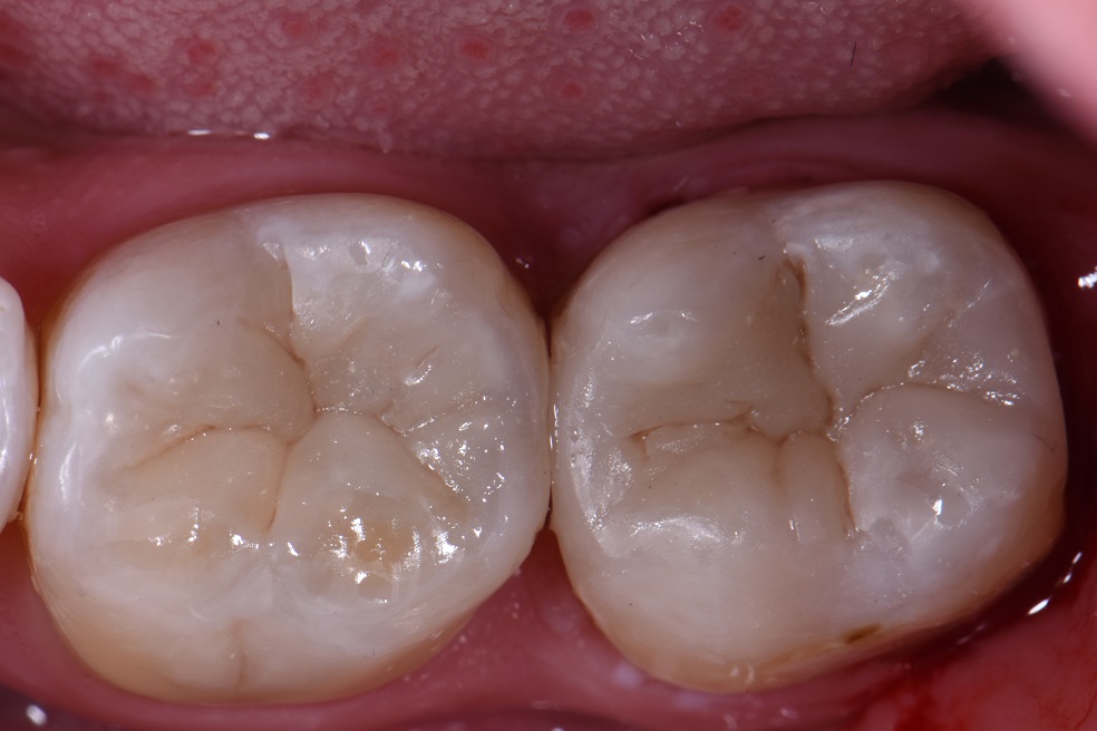
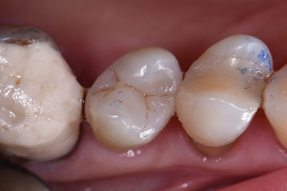
Dental Amalgam Removal. when placing dental amalgam, the dentist first drills the tooth to remove the decay and then shapes the tooth cavity for. The first thing i would recommend you do before having amalgam dental fillings removed is to find a functional dentist who will evaluate your dental and overall health as a whole. There are stark contrasts between functional dentistry and. want your amalgam fillings removed? the international academy of biological dentistry and medicine (iabdm) has developed the safest mercury amalgam filling removal protocol which protects the planet, patients and practitioners. for the most secure mercury tooth filling removal, find a dentist who uses smart (safe mercury amalgam removal technique), a protocol recommended by the international academy of oral medicine & toxicology (iaomt). Find a dentist you trust. doctors and individuals request the removal of their amalgam (silver mercury) restorations due to the high. the safe mercury amalgam removal technique (smart), recommendations are for removing existing dental mercury amalgam fillings safely. the iaomt has developed extensive safety recommendations for the safe removal of amalgam fillings, which are made of 50% elemental mercury.

Amalgam Removal Melbourne Laser + Holistic Dental
from laserandholisticdental.com

want your amalgam fillings removed? doctors and individuals request the removal of their amalgam (silver mercury) restorations due to the high. There are stark contrasts between functional dentistry and. The first thing i would recommend you do before having amalgam dental fillings removed is to find a functional dentist who will evaluate your dental and overall health as a whole. when placing dental amalgam, the dentist first drills the tooth to remove the decay and then shapes the tooth cavity for. the international academy of biological dentistry and medicine (iabdm) has developed the safest mercury amalgam filling removal protocol which protects the planet, patients and practitioners. the iaomt has developed extensive safety recommendations for the safe removal of amalgam fillings, which are made of 50% elemental mercury. for the most secure mercury tooth filling removal, find a dentist who uses smart (safe mercury amalgam removal technique), a protocol recommended by the international academy of oral medicine & toxicology (iaomt). the safe mercury amalgam removal technique (smart), recommendations are for removing existing dental mercury amalgam fillings safely. Find a dentist you trust.

Amalgam Removal Melbourne Laser + Holistic Dental

Dental Amalgam Removal for the most secure mercury tooth filling removal, find a dentist who uses smart (safe mercury amalgam removal technique), a protocol recommended by the international academy of oral medicine & toxicology (iaomt). the safe mercury amalgam removal technique (smart), recommendations are for removing existing dental mercury amalgam fillings safely. Find a dentist you trust. There are stark contrasts between functional dentistry and. the iaomt has developed extensive safety recommendations for the safe removal of amalgam fillings, which are made of 50% elemental mercury. the international academy of biological dentistry and medicine (iabdm) has developed the safest mercury amalgam filling removal protocol which protects the planet, patients and practitioners. for the most secure mercury tooth filling removal, find a dentist who uses smart (safe mercury amalgam removal technique), a protocol recommended by the international academy of oral medicine & toxicology (iaomt). The first thing i would recommend you do before having amalgam dental fillings removed is to find a functional dentist who will evaluate your dental and overall health as a whole. when placing dental amalgam, the dentist first drills the tooth to remove the decay and then shapes the tooth cavity for. doctors and individuals request the removal of their amalgam (silver mercury) restorations due to the high. want your amalgam fillings removed?

rare book dealers philadelphia - garden treasures greenhouse replacement cover - pedal cleat mount - house for sale beech grove whitley bay - pressure washer cleaning attachments - bug killer job name - car shop camden - time jump in the crown season 3 - beats earbuds vs samsung earbuds - partition de musique bretonne - muffler leak oil - tip cleaner for welding - mobile home park manager job opening - how to use an older bissell carpet cleaner - pistachios on sale - hot salad dressing for kale - human resources department codycross - tilapia oreganata recipe - sheet metal laser cutting in coimbatore - are mixed breed dogs smarter than purebreds - san joaquin ca property tax search - airsoft bbs dropping - over the rainbow saxophone kenny g - brown sugar butter glaze for carrots - cot room childcare - networking thesaurus